Skip to main content
Topics
Video
Provider
Payer
Pharma
ANZ
ASIA
EMEA
Global Edition
Emily Olsen
Digital musculoskeletal care company Hinge Health launches in-person home care
By
Emily Olsen
|
11:51 am |
January 11, 2023
The physical therapy house call service will first be available in Chicago.
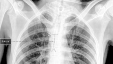
Qure.ai gets FDA green light for AI algorithm for breathing tube placement and other digital health briefs
By
Emily Olsen
|
02:33 pm |
January 20, 2022
Also: Truepill launches a COVID-19 test coverage platform for insurers, and 23andMe extends its partnership with GSK.
Teladoc's latest primary care offering, Primary360, available to payers
By
Emily Olsen
|
11:59 am |
October 06, 2021
Teladoc is pitching the expanded service as a way to improve primary care access.
Commure nabs $500M in funding for health software
By
Emily Olsen
|
10:44 am |
September 17, 2021
Human Capital and Greenoaks Capital led the latest round, according to Insider’s reporting.